杉並区の歯医者|杉沢歯科医院 HOME > インプラント

インプラント治療とは、顎の骨にチタン製の人工歯根を埋め込んで、その上から人工歯を取りつけることで、力強い噛み心地を回復させる治療法です。本物の歯に近い噛み心地が得られるだけでなく、周囲の歯の色調に合わせた人工歯を取りつけることで、見た目にも自然で美しく仕上がります。
歯を失った場合の治療法として、インプラント治療のほかにも入れ歯治療やブリッジなどが挙げられます。これら3つを比較してみましょう。インプラント治療が非常に優れた治療法だということがわかります。
| インプラント | 入れ歯(保険適用の場合) | ブリッジ | |
|---|---|---|---|
歯を失った部分の顎の骨に人工歯根(インプラント)を埋め込み、その上に人工歯を被せる治療。 |
1本~すべての歯まで、失った歯の本数に合わせてつくった義歯を、バネを使うなどして装着する治療。 |
横並びに1~数本の歯を失った場合に、両脇に残った歯を削って支えにして、連なった人工歯を被せる治療。 |
|
| メリット |
|
|
|
| デメリット |
|
|
|
![]()

口腔内を観察してカウンセリングを行い、インプラント治療の概要・メリット・デメリットなどを分かりやすくご説明します。治療に関して不明な点などがございましたら、お気軽におたずねください。
![]()
![]()

口腔内や顎の骨の状態を調べるために、各種検査を実施します。
![]()
![]()

検査データをもとにして、患者さんに最適な治療計画をご提示いたします。この際にインプラントの本数などの詳細について決定していきます。
![]()
![]()

インプラント治療前に虫歯や歯周病が発見された場合は、まずそちらの治療を済ませます。口腔内環境を改善するために、歯のクリーニングをすることもあります。
![]()
![]()

歯ぐきを切開し、顎の骨に人工歯根を埋め込みます。手術後は、人工歯根が骨としっかり結合させるため3~6か月程度期間をおきます。
![]()
![]()

人工歯根の結合が確認できたら再度歯ぐきを切開し、人工歯根の頭部を露出させます。
![]()
![]()

あらかじめ型をとり、作製しておいた人工歯を装着させて、治療完了です。
![]()
![]()

治療完了後も定期的にメンテナンスを実施し、骨や歯の状態・噛み合わせ・歯周病の有無をチェックします。インプラントを長持ちさせるために大切なことなので、メンテナンスは怠らないようにしましょう。
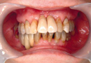
インプラント治療を受けた70歳の方です。

術前
![]()

術中
![]()

人工歯の色合わせ
![]()

人工歯装着
インプラント治療に使用する人工歯は、それ自体が虫歯になることはありません。しかし、手入れが不十分だと「インプラント周囲炎」といって、人工歯の周りに歯周病と同じような症状を引き起こす可能性があります。



インプラントは天然の歯と違って神経が通っていないので、この病気にかかっていてもなかなか自分では気付きません。そのためそのまま放置してしまい、挙句の果てにはせっかく入れたインプラントが抜けてしまった……という事態にもなりかねないのです。そうならないためにも、インプラント治療後のメンテナンスは必要不可欠。定期検診を受けて、インプラントを長く使っていけるようにしましょう。
定期検診では、インプラントに取り付ける人工歯の摩耗具合や、噛み合わせのチェックも併せて実施します。使い心地が変わってきたり、グラグラしたりする場合は調整しますので、お気軽にご相談ください。


















